L’Odontoiatria Conservativa è la branca odontoiatrica che si occupa del ripristino del dente eroso da carie.
Che cosa è una Carie?
La carie dentale è una malattia degenerativa dei tessuti duri del dente (smalto e dentina).
I fattori che determinano la formazione sono multipli. Tra i principali in assoluto bisogna elencare i batteri, gli zuccheri, la predisposizione genetica e l’età.
Il processo carioso si sviluppa attraverso l’azione dei batteri normalmente presenti nella nostra bocca, ma che in particolari situazioni scatenano il loro potenziale patogeno nutrendosi dei residui alimentari e rilasciando acidi che dissolvono lo smalto del dente.
In questa fase iniziale si parla di carie superficiale (non ancora in dentina).
Una volta intaccata la dentina, essendo questa molto piu facile da degradare rispetto allo smalto, la carie procede piu rapidamente fino a raggiungere la polpa (nervo) provocando dolore piu o meno intenso in base agli stimoli a cui è sottoposto.
Un errore comune è pensare che un dente sia cariato solo quando fa male. In realta, nella maggior parte dei casi, la carie non provoca sintomatologia. Per tanto si tende a sottovalutare il problema fino a che non sopraggiunge il dolore. Quando questo compare, molto spesso significa che la carie è gia in uno stato avanzato e puo addirittura aver intaccato gia il nervo.
Per tutti questi motivi fare dei controlli periodici e seguire un programma di prevenzione è indispensabile per scongiurare lo sviluppo di carie o almeno intercettare i processi cariosi quando ancora sono in una fase iniziale.
Come agisce l’odontoiatria conservativa?
Attraverso l’utilizzo di uno strumentario adeguato, la moderna conservativa si basa sul concetto di minima invasività. Cioè la rimozione esclusiva del tessuto dentario danneggiato dalla carie e la sua sostituzione con materiali da otturazione.
Lo studio Kennedy si avvale di materiali di alta qualità oltre che di specifici protocolli clinici per restituire l’integrità del dente trattato oltre che ad una elevata estetica.
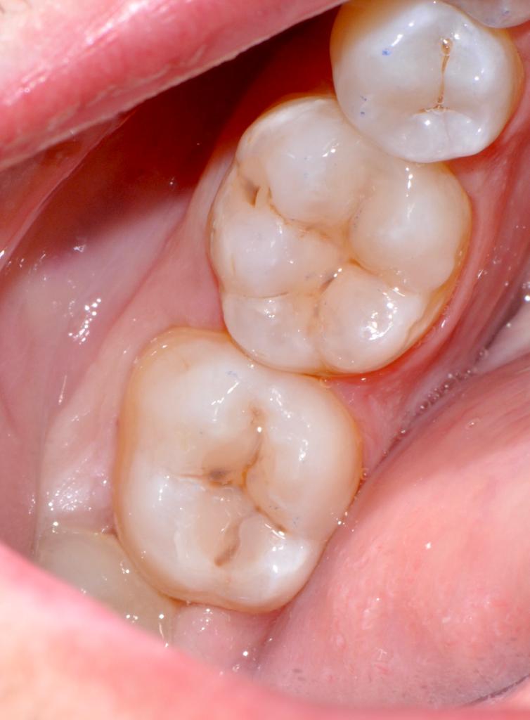
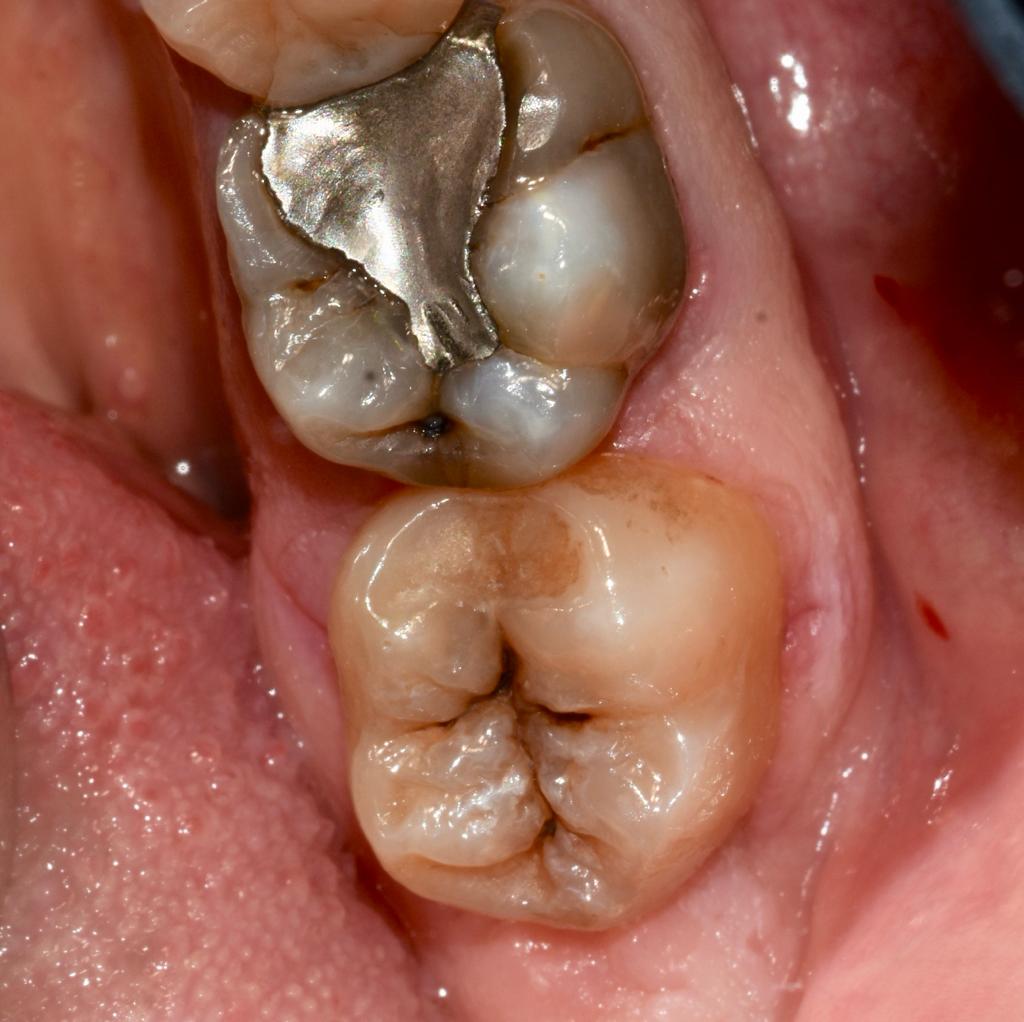
Alcuni casi clinici











