In cosa consiste il trattamento endodontico?
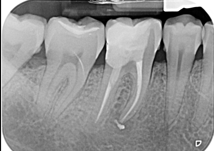
Il trattamento endodontico (devitalizzazione) consiste nel rimuovere la polpa dentaria o piu comunemente il nervo contenuto all’interno del dente e nelle sue radici, che sia infetto o infiammato.
L’obbiettivo di questa terapia è detergere, disinfettare e sigillare lo spazio lasciato libero dal nervo.
Quali sono le cause che portano alla devitalizzazione del dente?
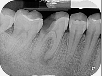
La causa piu comune è di gran lunga la carie dentaria che, non essendo stata intercettata in uno stato iniziale, ha progredito fino a raggiungere il nervo. Una volta intaccata, la polpa va incotro ad un processo infiammatorio acuto denominato pulpite, o necrosi con conseguente ascesso.
Altre cause possono essere traumi improvvisi o anche a seguito di altri interventi sul dente.
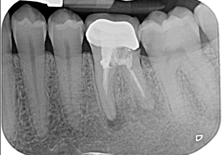
Attraverso l’esecuzione di una corretta terapia canalare si raggiunge l’obiettivo primario che è il mantenimento del dente, che dovra successivamente essere riabilitato protesicamente con corona o intarsio, all’interno del cavo orale scongiurando l’istaurarsi di infezioni e conseguentemente di dolore.
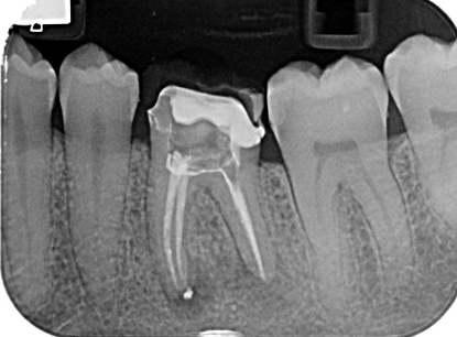
Il nostro Centro, in continuo aggiornamento e grazie all’utilizzo delle piu moderne tecnologie, è in grado di offrire elevati standard qualitativi del trattamento endodontico.








